Главная>Новости
Обмен случаями | Хроническая окклюзия CLI, обработанная ThorCrack IVL
-
2025-06-06
-
LEPU
Клинический прожектор: хроническая окклюзия CLI, обработанная ThorCrack IVL
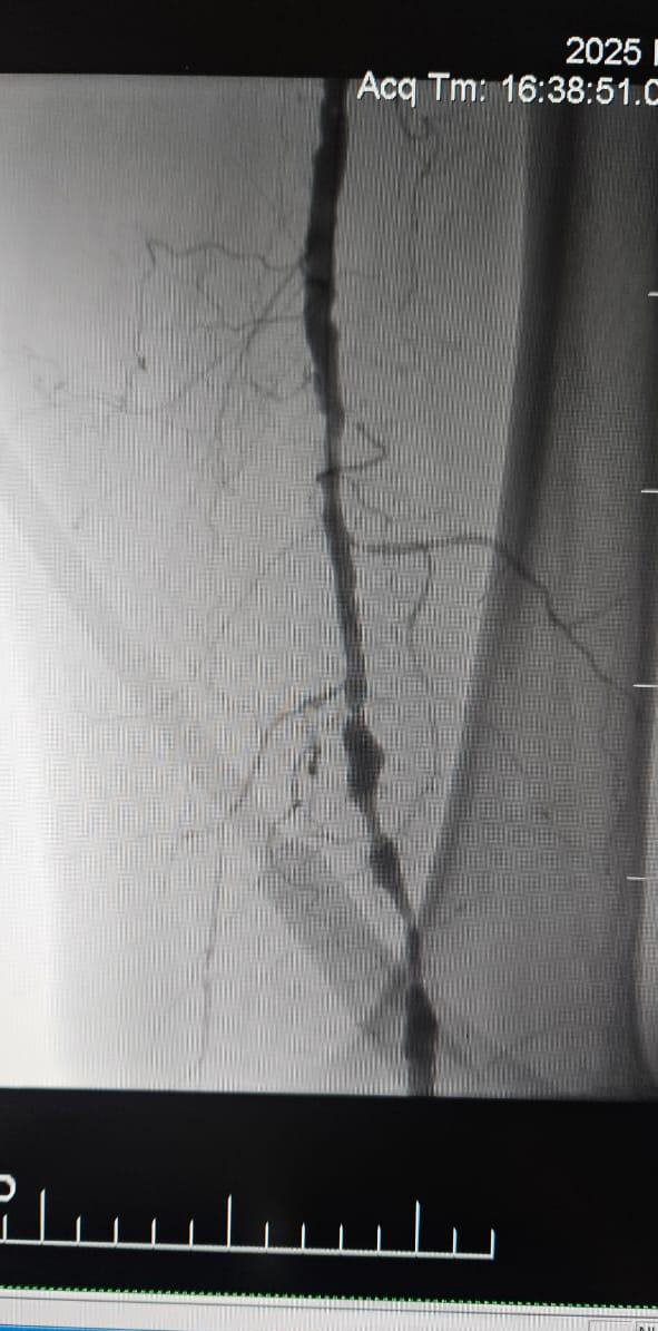
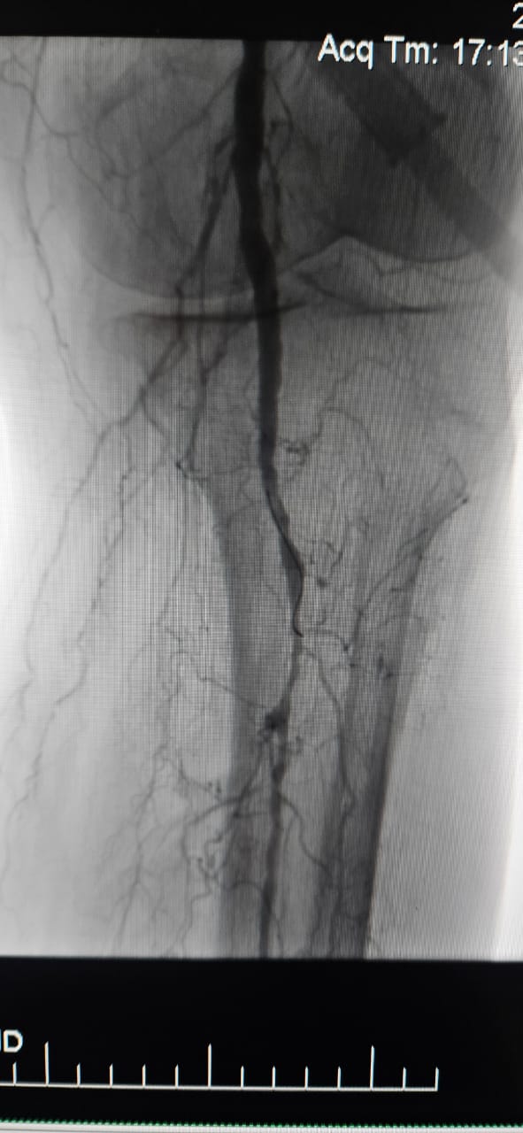
Мы рады поделиться успешным случаем из больницы в Батуми, Грузия, где 78-летняя пациентка с критической ишемией конечностей (CLI), вызванной хронической полной окклюзией артерии нижней конечности, показала значительное клиническое улучшение после лечения с помощью периферийной системы расширенного баллона ThorCrack IVL.
О ThorCrack Периферийный катетер расширенного воздушного шара IVL
Катетер расширенного баллона периферического IVL ThorCrack специально разработан для подготовки к поражению и баллонной дилатации кальцифицированных стенозов (≥ 50%) в: илиакии артерии, бедренной артерии, илиофеморальной артерии, подколенной артерии, почечной артерии, инфраподколенных артериях (ниже колена)
Ключевые спецификации:
Максимальные импульсы IVL: 300
ИМПы ульс ИВЛ для цикла: 30 (10 циклов)
Диаметры воздушного шара (мм): 3,0/3,5/4,0/4,5/5,0/5,5/6,0/6,5/7,0
Длина воздушного шара (мм): 40 / 60
Compatible guidewire: 0.014"
Этот случай подчеркивает клиническую ценность внутрисосудистой литотрипсии (IVL) в лечении сложных случаев CLI с хронической окклюзией длинного сегмента-особенно у пациентов с тяжелой кальцификацией, где традиционные баллоны или устройства для атерэктомии могут иметь ограниченную эффективность.
Мы гордимся тем, что ThorCrack IVL дает возможность врачам по всему миру преодолевать кальцинированные поражения, восстанавливать перфузию и улучшать результаты лечения пациентов при сложных заболеваниях периферических артерий.
Contact us>>Marketing@lepu-medical.com
Visit lepumedical website for more >>En.lepumedical.com



