Хорошие новости! LEPU Vesscrack IVL Balloon позволяет успешно лечение коронарной кальцификации в Чили
-
2025-09-02
-
LEPU
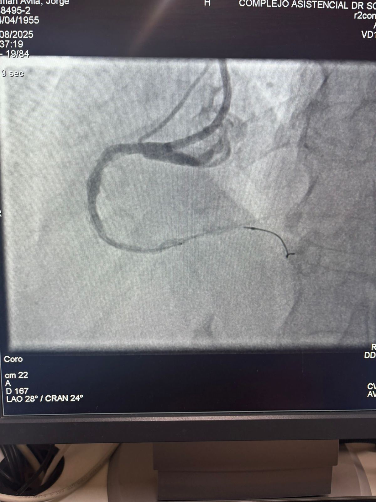
Мы гордимся тем, что поделились замечательным случаем из больницы Sótero del Río, Чили, где доктор Мартин Вальдебенито успешно вылечил сильно кальцинированное поражение в правой коронарной артерии (первая кривая), используя нашу систему катетера с расширенным баллоном IVL.
Процедура достигла выдающихся результатов, при этом кальцинированная область эффективно треснулась и поток сосудов восстановился. Это является еще одной вехой в расширении глобального доступа к передовым решениям для сложной коронарной кальцификации.
Сравнение между предварительными и послепроцедурными ангиографическими изображениями ясно демонстрирует значительное клиническое влияние нашей технологии IVL.
В Lepu Medical мы по-прежнему привержены расширению возможностей врачей во всем мире с помощью инновационных решений, которые превращают сложные случаи в успешные результаты.
Contact us>>Marketing@lepu-medical.com
Visit lepumedical website for more >>En.lepumedical.com




***This product is presented for academic exchange purpose only and is not intended for sale within European Union.***
