Обмен случаями | Закрытие PFO с длинным туннелем с биоразлагаемым окклюдером MemoSorb
-
2025-04-28
-
LEPU
30-Year Migraine Relief & 1-Year Follow-Up: Long-Tunnel PFO Closure with MemoSorb Biodegradable Occluder
Today, we share a remarkable case highlighting 1-year post-op outcomes of MemoSorb in treating a complex long-tunnel PFO (12mm length, 1.4mm width), with a focus on serial echocardiographic evidence of device degradation and clinical symptom resolution.
Основные моменты случая
Профиль пациента: 53F, 30-летняя история мигрени (часто односторонняя, продолжительностью от нескольких часов до нескольких дней), 2 синкопальных эпизода.
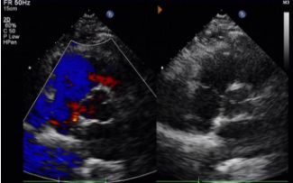
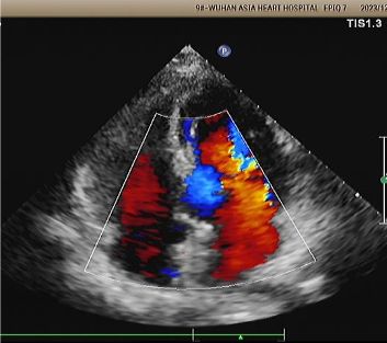
Диагноз: Положительное исследование пузырьков.
Имплантат: 2424 мемосорб®Биоразлагаемый окклюдер PFO, развернутый под руководством эха и DSA.
Ключевые выводы по последующей визуализации
День 1-9 месяцев:
Остаточный шунт не наблюдается.
Постепенное снижение в эхогенности прибора.
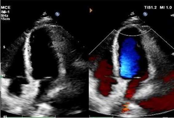
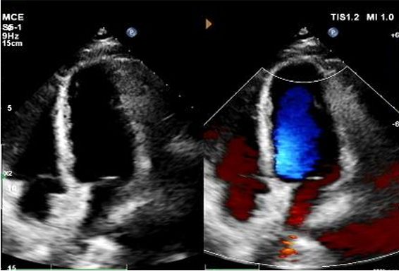
1-годовое эхо:
No visible disc structures – replaced by 8mm tissue thickening at the septal implant site.
Zero residual shunt (rest or post-Valsalva).
Полное поглощение устройства подтверждено.
Клинические Результаты:
1. Migraine frequency/severity significantly reduced post-implant.
2. No recurrence of syncope or neurological symptoms.
3. Patient-reported improved quality of life.
Contact us>>Marketing@lepu-medical.com
Visit lepumedical website for more >>En.lepumedical.com




