Обмен случаем | Перелом плечевой кости от среднего до дистального третьего диафиза
-
2025-05-12
-
LEPU
Процедура: Минимально инвазивный остеосинтез чрескожных пластин (MIPPO) через передний подход с орто-мостовой системой
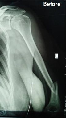
Обзор случая: у 48-летней пациентки был диагностирован перелом от средней до дистальной трети левого плеча (классификация АО: тип B1).
Хирургическая бригада выбрала минимально инвазивный пластинчатый остеосинтез (MIPO) с помощью переднего подхода с использованием орто-мостовой системы (OBS). Операция была успешно завершена в течение 90 минут, с предполагаемой потерей крови около 150 мл и длиной разреза около 8 см.
Внешняя фиксация не требовалась после операции, и пациент начал упражнения по мобилизации локтевого сустава на следующий день, чтобы предотвратить скованность и спайки суставов.
Преимущества OBS:
1. Гибкая конфигурация-легко настраивается для удовлетворения разнообразных клинических потребностей.
2. Минимально инвазионный-уменьшает хирургическую травму для более быстрого спасения.
3. Safe & Reliable – Ensures secure fixation with high mechanical stability.
4. Многофункциональность-предназначен для использования на различных частях тела.
Contact us>>Marketing@lepu-medical.com
Visit lepumedical website for more >>En.lepumedical.com




