Главная>Новости
Клинический прожектор | Nuva Flow Divverter в лечении аневризмы задней коммуникационной артерии
-
2025-12-18
-
Lepu
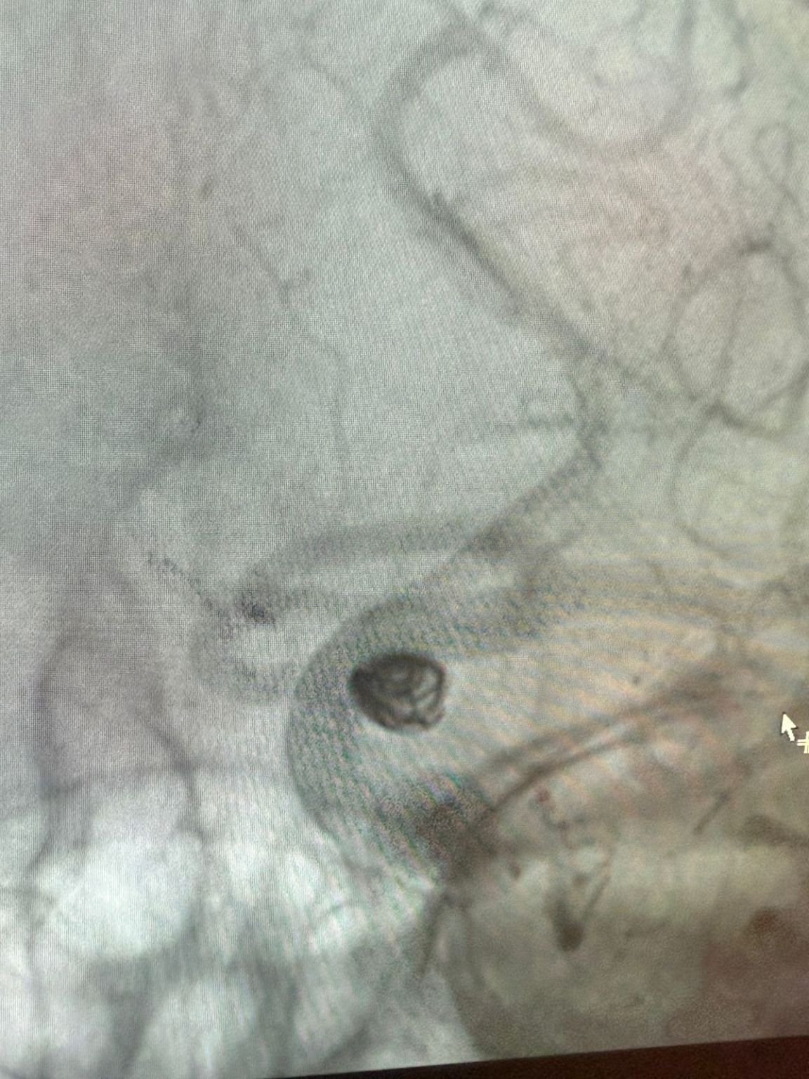
Мы рады поделиться недавней успешной процедурой в Клинике Альма Матер, Медельин, выполненной доктором Хорхе Мутисом.
Лечение использовалось Нува®Отвод потока (TJED-D 5,0-14), перденсатор®3D катушка и Frepass®Микрокатетер (TJMC18 Plus) для аневризмы задней сообщающихся артерий.
Клинический взгляд:
Доктор Мутис подчеркнул отличную видимость устройства и отметил, что извлечение было гладким. Он выразил большое удовлетворение в связи с окончательным результатом.
TJWY Medical специализируется на предоставлении высококачественных и надежных нейрососудистых решений для поддержки врачей в обеспечении наилучшего ухода за своими пациентами. Мы искренне ценим доверие и сотрудничество доктора Мутис и команды в выборе нашей продукции для этого случая.




