Главная>Новости
Последующая деятельность в течение 2 лет | Биоразлагаемый окклюдер ASD MemoSorb
-
2025-08-11
-
LEPU
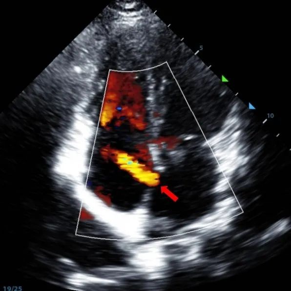
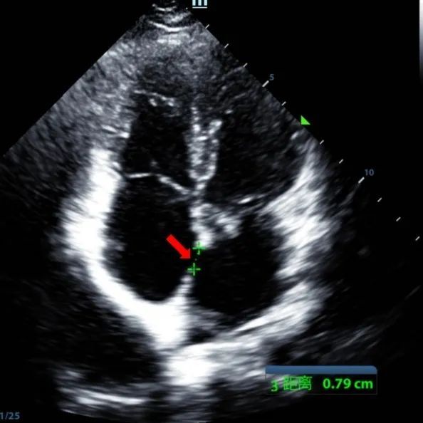
9-летний мужчина с секундовым ASD (7,5-7,9 мм) был обработан с использованием окклюдера MemoSorb BDASD-I 12 мм и системы доставки 12F. Никаких осложнений или сопутствующих заболеваний не было отмечено до процедуры.
Serial echocardiographic follow-ups showed stable device position and favorable cardiac remodeling. Gradual degradation confirmed the occluder's long-term safety and efficacy.
Contact us>>Marketing@lepu-medical.com
Visit lepumedical website for more >>En.lepumedical.com




