Обмен случаем | Биоразлагаемое закрытие ASD под руководством только для TTE у аномальные коронарные пациенты
-
2025-08-11
-
LEPU
At Fuwai Hospital Shenzhen, Dr. Lu Yaoxing's team recently performed a successful transcatheter closure of a secundum atrial septal defect (ASD) using a MemoSorb biodegradable occluder in a 34-year-old male patient with a rare coronary anomaly.
Ключевая информация о случае:
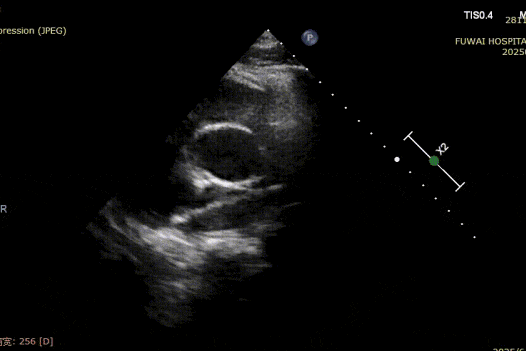
1. ASD был центральным по местоположению, с измеренным диаметром приблизительно 8,1 мм (бикаваль вид) и 8,2 мм (аортальный короткий обзор).
2. Коронарный КТА выявил аномальное происхождение левой циркумфлексовой артерии (ЛКХ) из правого коронарного синуса, с течением между аортой и левым предсердие.
3. Расстояние между ASD и аберрантным LCX было всего около 6 мм.
4. Не было обода аорты, а нижний и задний ободки были относительно мягкими.
Учитывая близость дефекта к коронарной артерии, традиционный металлический окклюдер представлял риск сжатия, особенно при физической нагрузке. Поэтому был выбран биоразлагаемый окклюдер ASD (BDASD-I 18 мм) за его гибкость, меньший риск долгосрочных механических травм и способность разлагаться на углекислый газ и воду после завершения функции закрытия.
Процедура была разработана TTE в соответствии с процедурой PAN, разработанной в больнице Фувай. Этот безлучевой метод визуализации в реальном времени предлагает анатомическую визуализацию высокого разрешения, обеспечивая точное размещение устройства и минимизируя осложнения, что особенно ценно для молодых пациентов репродуктивного возраста.
1-day postoperative TTE revealed that the occluder is in good shape without residual shunt (see last figure).
Contact us>>Marketing@lepu-medical.com
Visit lepumedical website for more >>En.lepumedical.com



