Клинический прожектор | Лечение мульти-аневризмы с помощью Nuva®Отвод и конденсатор потока®Система эмболических катушек
-
2025-07-23
-
LEPU
Пациент: Женщина, 48 лет
У пациента была диагностирована недавно обнаруженная мешочковая аневризма передней сообщающейся артерии (AComA) и аневризма задней сообщающейся артерии (PComA), которые ранее лечились с помощью спиральной эмболизации. Последующая визуализация выявила остаточное заполнение аневризмы PComA, требующее дополнительного вмешательства.
Процедура
Аневризма передней коммуникационной артерии
Был установлен сосудистый доступ, и затем команда успешно прошла Фрепасс®Одноразовый микрокатетер (TJMC14) к целевому месту. Эмболизация была выполнена с использованием трех перденсаторов®Система эмболической катушки (TJCST4.508-3D, TJCST0306-3D, TJCST0206-3D), развернутая с помощью деромпера®Контроллер отряда катушки (TJCDC).
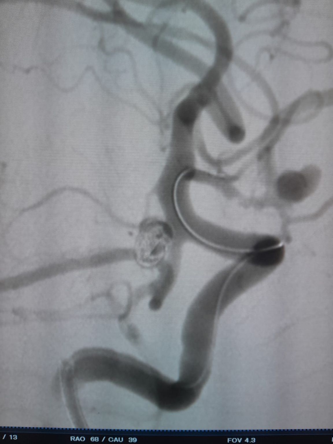
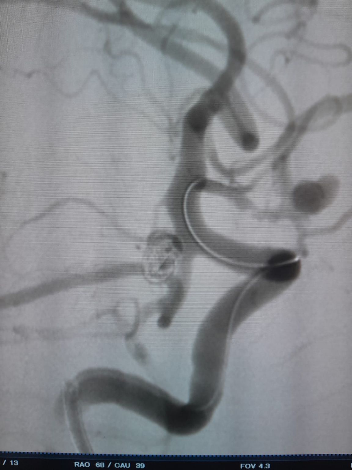
Аневризма задней артерии (повторное лечение)
Во время наблюдения было отмечено остаточное наполнение в ранее обработанной аневризме задней сообщающейся артерии. Команда повторно зашел на сайт с помощью Frepass®Одноразовый микрокатетер (TJMC18 Plus) и успешно развернутый Nuva®Отвод потока (TJED-D-4.5-16), который продемонстрировал идеальное расположение стены и отличное отклонение потока, что привело к весьма удовлетворительным результатам лечения.
Перденсатор®И Нува®-Надежные решения для комплексного управления аневризмы
Перденсатор®: Точная эмболизация с высокой плотностью
Отличная совместимость и высокая плотность упаковки для стабильной окклюзии аневризмы.
Полный набор размеров для обрамления, заливки и отделки.
Деромпер®Система отсоединения обеспечивает безопасный и надежный механизм мгновенного выпуска.
Нува®: Эффективное решение для рецидивов аневризмы.
Эффективное решение для аневризм с остаточным заполнением или рецидивом после начальной намотки.
Плавная навигация и надежное развертывание.
Отличное расположение к стене и стабильное отведение потока.
Нува®Упрощает повторную процедуру, снижает процедурную сложность и улучшает долгосрочные результаты.
Dr. Rivera highly praised the handling, deliverability, and clinical results of TJWY's products, emphasizing their efficiency and reliability in complex aneurysm interventions. The smooth procedural experience and favorable imaging outcomes further strengthened his confidence in TJWY's neurointerventional solutions.
Contact us>>Marketing@lepu-medical.com
Visit lepumedical website for more >>En.lepumedical.com




