Клинический прожектор | Nuva®Отвратитель потока для управления рецидивными аневризмы
-
2025-08-04
-
LEPU
Пациент: мужчина, 58 лет
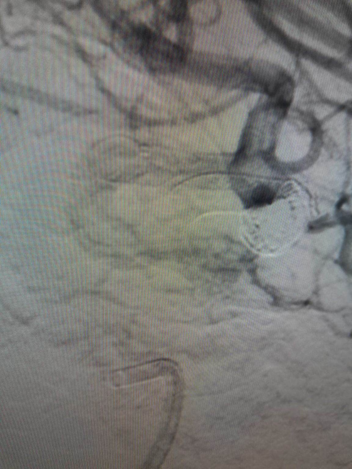
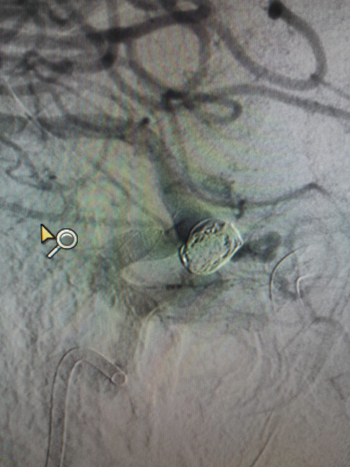
Диагноз: аневризма задней правой сообщающихся артерий, ранее обработанная с помощью спиральной эмболизации.
Процедура:
Процедура была успешно выполнена в клинике Сентенарио доктором Риверой при поддержке их клинической команды. Сосудистый доступ был установлен через пункцию бедренной артерии. Микропровод был тщательно перемещен к целевому месту, после чего плавное продвижение Frepass®Одноразовый микрокатетер (TJMC18 Plus). После точного измерения аневризмы Nuva®Flow Divverter (TJED-D-4.5-14) был выбран и успешно развернут через шейку аневризмы.
Процедура была завершена без осложнений, и Nuva®Устройство продемонстрировало отличное расположение стен и эффект отвода потока. Клиническая команда высоко ценит управляемость и производительность устройства.
Почему Нува®?
1. Нува®Flow Divverter обеспечивает плавную навигацию даже в судах, ранее обработанных катушками.
2. Прибор обеспечивает надежное развертывание и превосходное применение стены.
3. Нува®Способствует эффективному оттоку и поддерживает долгосрочную реконструкцию родительской артерии.
4. Это упрощает процедуры повторной обработки и снижает процедурную сложность.
5. Нува®Обеспечивает постоянную рентгенопрозрачность во всю длину, обеспечивая плавное выполнение процедуры.
Этот случай также показывает, что Nuva®Предоставляет врачам надежное и эффективное решение для точного и уверенного лечения рецидивирующих аневризм.
Contact us>>Marketing@lepu-medical.com
Visit lepumedical website for more >>En.lepumedical.com





